RIZÓLISIS PRODUCIDA POR CORDAL SUPERIOR
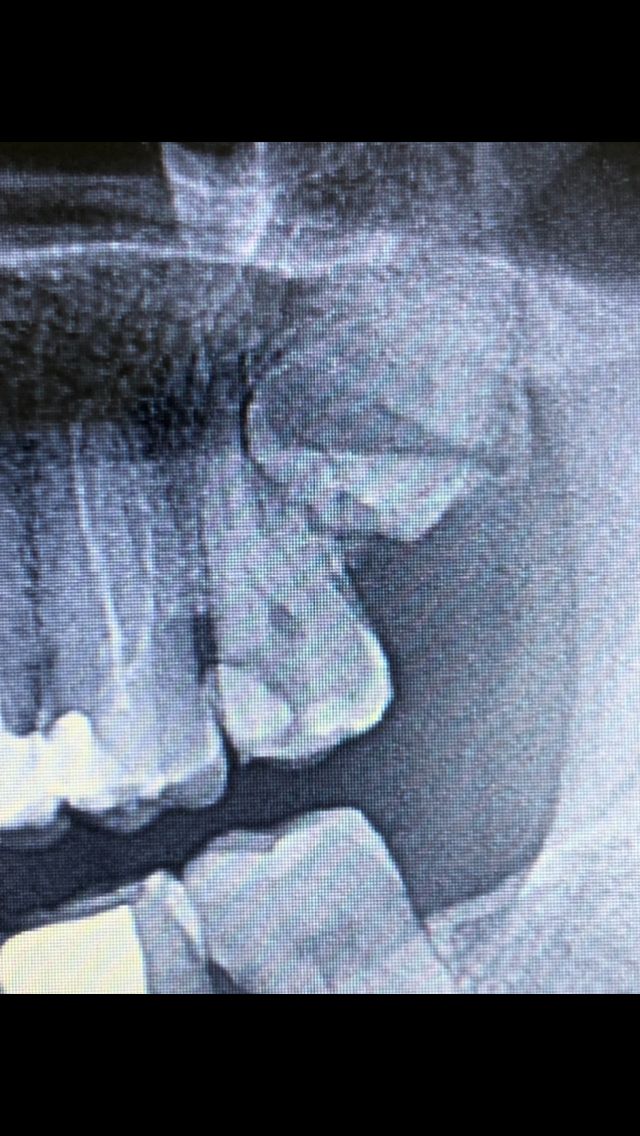
Llega un paciente a nuestra clínica con un gran dolor en la zona superior posterior izquierda, concretamente en las piezas segundo molar (27) y muela del juicio (cordal) incluida. A la exploración el paciente presenta una caries en 27 y vemos en la radiografía que a su vez este molar tiene impactado en sus raíces el cordal superior. Le damos tratamiento médico para el dolor e infección que presentaba y le damos cita para hacer la primera parte de la endodoncia en el molar y la extracción del cordal superior. El día de la cita hicimos la primera de endodoncia y la extracción del cordal superior tal y como estaba planificado, la cual fue muy traumática y así terminamos esta primera cita.
Al cabo de tres semanas con el paciente recuperado realizamos la segunda parte de la endodoncia: al hacer la conductometría vemos que la raíz distal vestibular sufrió una rizólisis por el impacto con el cordal. La rizólisis es una destrucción de la raíz de la pieza dental por impacto o presión de la cara oclusal de otra pieza.
La raíz a palatina parece un poco de reabsorción lateral sin llegar al nervio:

Hacemos conductometría de la raíz vestibular mesial:

A continuación conductometría de la raíz palatina:

En la que nos pasamos por arriba y corregimos:

A continuación rellenamos el conducto palatino con cemento de sellar (flecha en rojo) y vemos que se mantiene dentro del conducto sin esparcirse hacia fuera, esto nos tranquiliza, pues la rizólisis no llega a la luz del nervio. A continuación entró la gutapercha:
En último lugar hacemos la conductometría de la raíz distal vestibular que había sufrido la rizólisis, rellenamos con cemento sellador y a continuación entró la gutapercha. Y aquí si vemos que el cemento de sellar se desborda por apical de la raíz saliendo al exterior, queriendo esto decir que el nervio estaba afectado y no debíamos sobrepasarnos con la gutapercha (material de relleno). Terminados los rellenos de las tres raíces obturamos (relleno con composite) la pieza habiendo desaparecido totalmente el dolor. Paciente feliz.





