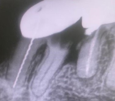
DOLOR EN PRÓTESIS SOBRE DIENTES NATURALES TALLADOS

Presentamos un nuevo caso en el que la paciente presenta un gran dolor en su prótesis antigua (15 años) sobre dientes naturales tallados en zona inferior de molares. Es una paciente muy bruxómana, se unieron dos molares tallados con dos coronas. En el caso que presentamos el molar anterior estaba endodonciado ya antes de colocar la prótesis fija, pero el molar distal no. Y éste era la causa del gran dolor. Esto es por haberse filtrado creando caries y destrucción dentaria que llegaba al nervio. En conclusión, produciendo una gran pulpitis.

Esto provocaba en la paciente un gran dolor, pero ella no contemplaba en ese momento la opción de levantar la prótesis para explorar las piezas que había debajo, poder visualizar la destrucción dental y rehacer todo con una prótesis nueva. Por tanto, para quitar el dolor normalmente habría que haber hecho las extracciones de los dos molares, lo cual sería muy invalidante. En la clínica decidimos hacer una endodoncia de la raíz distal del último molar a través de la prótesis por la zona oclusal, y hacer odontosecciones de las raíces lesionadas sin quitar la prótesis. Ésta va permanecer tal como estaba.

Lo cierto es que las raíces  ya estaban bastante separadas de el resto de los molares correspondientes por su destrucción, lo que nos permitió la extracción de estas raíces en concreto. Teniendo en cuenta también que las raíces mesial y distal de cada molar no estaban unidas entre sí, sino que había una separación entre ellas.

La técnica quirúrgica para este menester es parecida a una apicectomía, pero en lugar de quitar solo el ápice radicular quitamos toda la raíz dental. Así pues lo que se hizo fue extracción de la raíz distal del primer molar y extracción de la raíz mesial del segundo molar. Con lo que la prótesis sigue teniendo dos pilares.

En conclusión, lo que hicimos fue alisar la prótesis por debajo de forma que quede higiénica y por tanto no retenga restos. La técnica quirúrgica quedo muy bien. El tiempo de inflamación de la cara es como si se hubiera hecho la extracción de la muela del juicio, pero una vez se va la inflamación el paciente sigue haciendo vida normal, como el día que se le puso la prótesis.

Lo más importante, es que a los diez días se quitan los puntos y poco a poco se vuelve a la normalidad.

Con la secuencia de imágenes se comprende muy bien la técnica quirúrgica realizada.