ORTODONCIA INFANTIL: MALOCLUSIÓN CLASE II
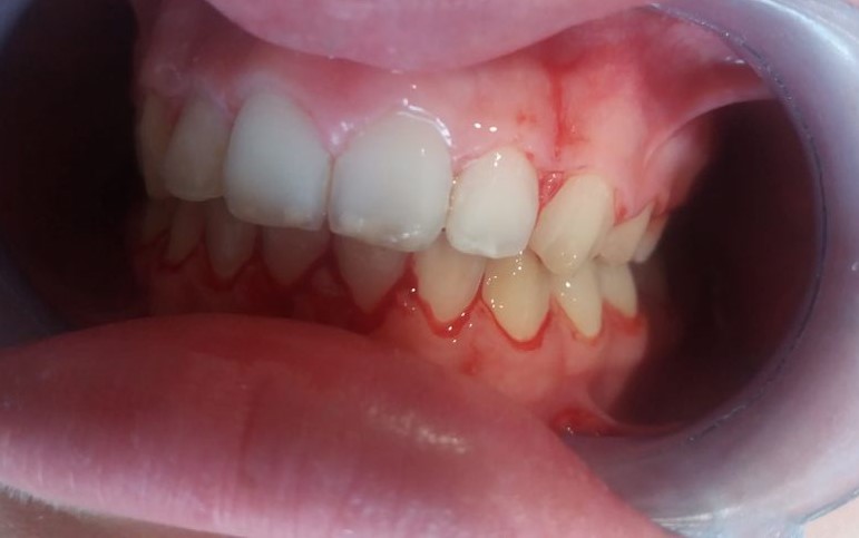
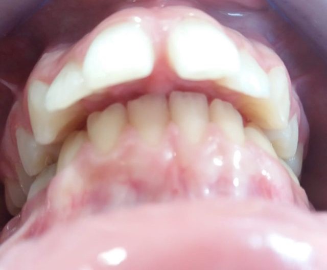
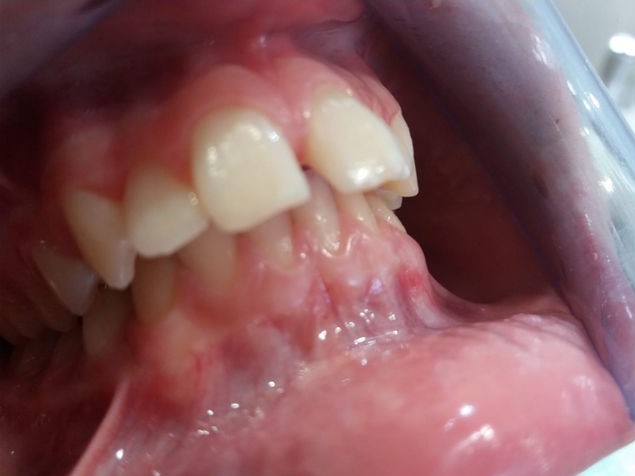
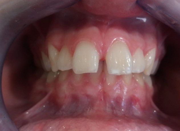
Vamos a ver el tratamiento de ortodoncia de un paciente de 11 años de edad en el que se observa una clase II de tipo dento-alveolar. Tiene un perfil de ligera protrusión del maxilar superior y retrusión de la mandíbula. Los incisivos inferiores llegan a contactar con el paladar superior pero muy hacia atrás. Esto le da un perfil de pájaro. Siendo la causa diversa en las que se mezcla diferentes parafunciones como interposición del labio inferior entre los dientes incisivos superiores e inferiores, o también interposición lingual al tragar etc. Es decir son los músculos (labio, lengua etc.) con sus malos hábitos los que producen las mal oclusiones e incluso trastornos del desarrollo óseo maxilomandibular normal. Es decir los músculos de la cara son los arquitectos de los huesos faciales, en este caso que exponemos para mal.
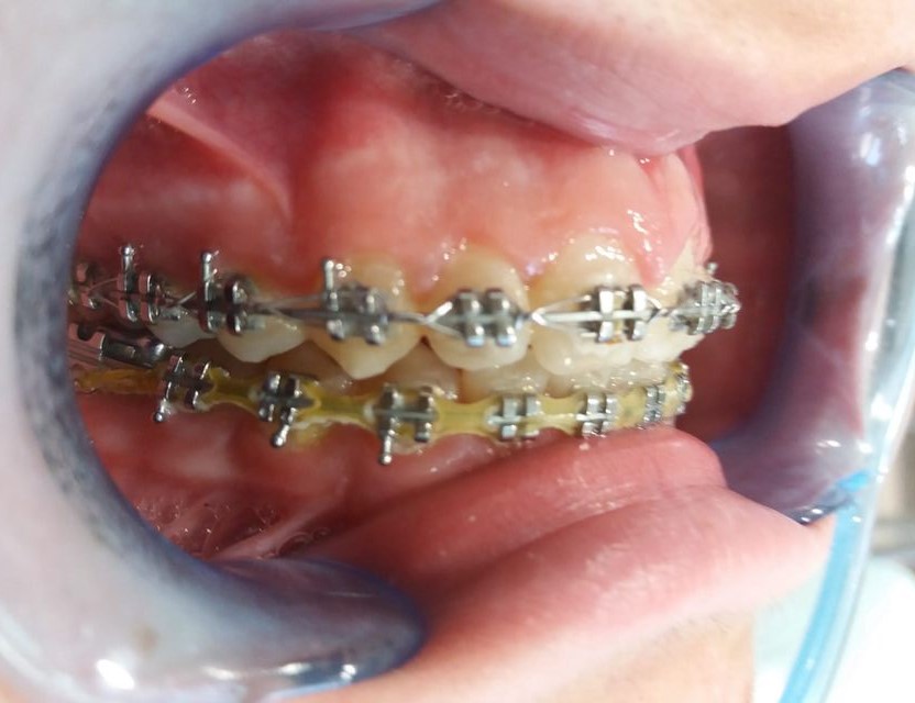
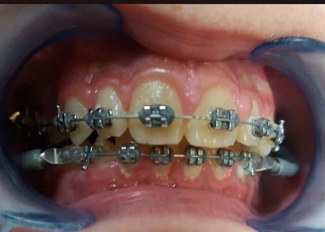
El tratamiento que se propone es alineamiento dental y estimular un desarrollo o crecimiento mandibular con algo que estimule dicho crecimiento. Este “algo” son los “aparatos funcionales” que actúan como si fueran poderosos músculos que tienden a empujar o estirar (según se diseñe) las estructuras dento-óseas de forma que estimula su crecimiento, siendo, que por su edad, está en época de máximo crecimiento. La mandíbula es un hueso capaz de crecer hasta los 25 años si se la estimula correctamente. Este aparato funcional es una especie de “jumper” o “saltador” o “empujador” que empuja el maxilar superior hacia atrás y empuja la mandíbula hacia delante aprovechando la fuerza de cierre de la arcada dental. Se lleva durante seis meses más o menos y el paciente no se lo puede quitar, es por esto que en realidad funciona tan rápido.
Recordamos que los músculos de la cara son los arquitectos de los huesos faciales, en este caso el aparato funcional, que es como un músculo, actúa para bien. Trascurrido este tiempo el paciente lleva elásticos de cierre para cerrar espacios dentales y resto de ajustes oclusales. Posteriormente a la retirada del aparato de ortodoncia el paciente lleva retenciones fijas y removibles durante la noche que garanticen el resultado en cuanto a recidivas.











